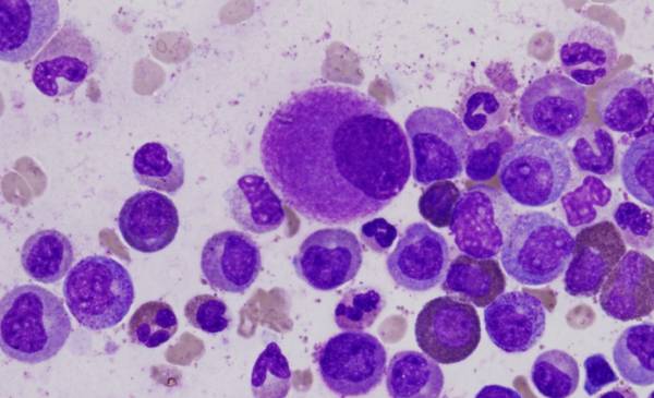
Leucemia mieloide, ricerca palermitana per migliorare la sopravvivenza dei pazienti Una nuova molecola migliora la sopravvivenza dei pazienti affetti da Leucemia mieloide acuta. Lo ha…