Uno straordinario intervento di reinnervazione del nervo facciale con tecnica cross-face è stato eseguito all’ospedale San Marco di Catania, grazie alla sinergia tra l’Azienda Ospedaliero Universitaria di Catania, diretta dal manager Giorgio Giulio Santonocito, e l’ospedale San Paolo di Milano, guidato da Simona Giglioli.
Riduzione e abbandono dell’attività lavorativa, perdita delle giornate di lavoro e calo della capacità produttiva che ammontano a oltre 8.000 euro di costi indiretti per il paziente ogni anno.
“Esprimiamo la nostra piena soddisfazione per l’attenzione che le strutture laboratoristiche private accreditate con il…
Rafforzare il rapporto con altri paesi partner, assicurare che le competenze mediche siano applicabili, trasferibili…
GUARDA IL VIDEO IN ALTO Quando si parla di scoliosi si fa riferimento alla deformità laterale della…
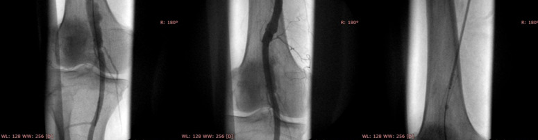
E’ salvo l’arto inferiore del paziente grazie ad un delicato intervento di esclusione endovascolare di…
Coronavirus e assistenza in ospedale, una storia di una breve degenza che ha lasciato il…
L’ospedale Cannizzaro di Catania si organizza dando il via ai lavori di ampliamento del pronto soccorso, prevedendo una sala riservata per i “codici verdi” e la realizzazione di un’area autonoma per il pronto soccorso pediatrico.
Matera è stata protagonista per “La Sanità segue la Cultura“, la capitale della Cultura 2019 è stata scelta proprio per la capacità di proporsi attraverso nuove metodologie e processi di apprendimento.
L’evoluzione nella dinamica demografica a cui stiamo assistendo ormai da alcuni anni, l’incremento delle patologie croniche con la conseguente modifica dei bisogni di salute della popolazione, rendono sempre più necessaria una riorganizzazione strutturale della rete dei servizi sanitari offerti al cittadino.